Фото с сайта https://grodnouzo.gov.by

Врачи-хирурги Гродненской университетской клиники впервые в своей практике выполнили уникальное оперативное вмешательство пациентке в преклонном возрасте с патологическим соустьем прямой кишки с органами женской репродуктивной системы и мочеполового тракта, а также кожными покровами.

 

Пациентка ранее перенесла приступ обострения дивертикулярной болезни (острый дивертикулит). За несколько месяцев до поступления в клинику начала отмечать наличие патологических примесей с неприятным запахом при мочеиспускании, а затем и в выделениях из влагалища. Были выполнены колоноскопия, компьютерная и магниторезонансная томография органов брюшной полости и малого таза, консультация и осмотр гинеколога и уролога. Проводился консилиум с участием хирургов, терапевтов, кардиологов, гинекологов, урологов, анестезиологов и реаниматологов. Так как пациентке 88 лет, было необходимо принять взвешенное решение с учетом всех рисков предстоящего серьезного оперативного вмешательства.

 

Был выставлен диагноз: дивертикулярная болезнь толстой кишки, толстокишечно-влагалищно-маточно-мочепузырно-кожный свищ, перенесенные дивертикулиты в анамнезе. С целью радикальной ликвидации свища (патологического соустья указанных выше органов) было решено выполнить оперативное вмешательство — резекцию сигмовидной и верхнеампулярной части прямой кишки с формированием проксимальной десцендостомии, экстирпацию матки с резекцией части влагалища, несущей свищ, резекцию мочевого пузыря с восстановлением его целостности и иссечение кожной части свища.

 

Утром в день операции заведующий отделением урологии Гродненской университетской клиники Даниил Василевич выполнил пациентке цистоскопию, при которой четко визуализировал и показал коллегам (хирургам и гинекологам) локализацию свищей в мочевом пузыре, а также с помощью рентгеноконтрастного исследования (фистулографии) продемонстрировал ход свища. С целью защиты и четкой визуализации мочеточников в ходе предстоящего высокотехнологичного хирургического вмешательства осуществил катетеризацию мочеточников. Непосредственно перед оперативным вмешательством сотрудником кафедры онкологии ГрГМУ, гинекологом Ангелиной Горецкой было выполнено исследование женских половых органов с пальпаторным и визуальным уточнением локализации свища во влагалище.

 

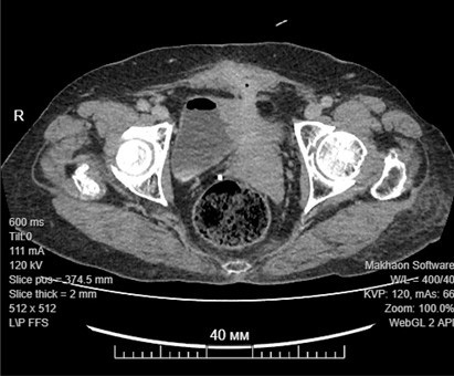
v0x76xКомпьютерная томография зоны прямокишечно-влагалищно-маточно-мочепузырно-кожного свища.В ходе последующего многочасового оперативного вмешательства операционная бригада в составе проректора по лечебной работе ГрГМУ Эдуарда Могилевца, заведующей отделением гнойной хирургии ГрУК Светланы Ждонец и гинеколога Ангелины Горецкой выполнила удаление части толстой кишки, матки с придатками и участком влагалища, участка стенки мочевого пузыря, несущими свищ и участвующими в формировании единой патологической полости; успешно была иссечена кожная часть свища.

 

Многокомпонентное сбалансированное анестезиологическое пособие во время оперативного вмешательства осуществляла врач-анестезиолог-реаниматолог Ольга Станько.

 

Пациентка успешно прошла период выздоровления в отделении реанимации № 1 и отделении гнойной хирургии. Рана зажила первичным натяжением без нагноения.

 

Женщина выписана на амбулаторное лечение. В перспективе через 3 месяца ей рекомендована повторная госпитализация для лапароскопического закрытия десцендостомы.